SEARCH

Display:


Alexandre Yersin

​1894


Xenopsylla cheopsis



photo: CDC

symptoms of pneumonic and bubonic plague



Terrible symptoms:
The disease, pictured ravaging Gaylord's hands in July, killed millions in the Middle Ages and affects about seven people a year in the United States

photo: Gaylord's family

http://www.dailymail.co.uk/news/article-2205782/Im-happy-alive-Plague-victim-fingers-toes-amputated-painful-2-5-hour-surgery.html

necrose

Black Death

photo CDC Jack Poland


The Plague doctorMiddle Ages


The Plague victims mass Bubonic grave in Martigues,France

1720-1721


Cover NTMM_MMIZ_ErasmusMC
Hans den Boer


The triumph of death
Pieter Breughel the elder_1562


Saint Sebastian Interceding for the Plague Stricken
Josse Lieferinxe


The Plague
Arnold Bocklin


The Plague victims
citizens of Tournai bury plague victims

Yersinia pestis

  • General information


    • General Information
      Yersinia pestis was discovered in Hong Kong in 1894 by a Swiss physician Alexandre Yersin.

      He linked Y. pestis to the bubonic plague, an epidemic that ravaged Europe during the 1300s.

      The organism was isolated during a outbreak in Hong Kong

      Taxonomy
      Family: Enterobacteriaceae
      It was formerly known as Pasteurella pestis.

      The closest relative is the gastrointestinalpathogen Y. pseudotuberculosis and more distantly Y. enterocolytica

      Natural habitats
      Yersinia pestis interacts mainly with rodents such as rats and fleas (Xenopsylla cheopsis)

      Through these carriers, Yersinia pestis is able to invade human cells and create diseases.

      Clinical significance
      Human Y. pestis infection takes three main forms, pneumonic, septicemic and bubonic plagues.

      All three forms were responsible for a number of high-mortality epidemics troughout human history, including: the sixth century's Plague of Justinian, the Black Death, which accounted for the death of at least one-third of the European population between 1347 and 1353; and the 19th century's Third Pandemic

      It has now been shown that these plagues probably originated in rodent populations in China.

      Yersinia pestis infections must be diagnosed quickly due to the high virulence of these organisms.
      Death from pneumonic plague can occur in as little as 24 hours after the first appearance of symptoms.

  • Diseases

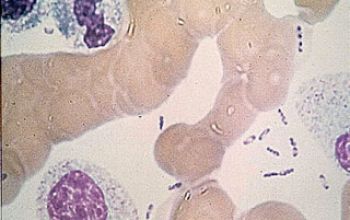
  • Gram stain

    • Small oval Gram negative coccoid rods,

      with bipolar staining, giving it a safety pin appearance

      In direct material, this characteristic shape best seen.

      In older cultures,
      the rods are polymorphic, they are bigger, longer and more irregular in shape.

      In liquid media
      the rods form chains.

  • Culture characteristics

    • Facultative anaerobic

      BA: small, gray, white, opaque and irregular colonies.
      After 24 hours 0.1 to 1.0 in diameter.

      They do not produce pigment, but absorb at 26°C
      (not at 37°C) large amounts of exogenous hemin,
      whereby they are pigmented.

      Optimal growth temperature: 28°C

      McConkey: growth, non lactose fermenter

      BBAØ: growth

  • Characteristics

  • References

Find related articles in Pubmed