SEARCH

Display:


Staphylococcus auricularis

  • General information


    • Taxonomy
      Family: Staphylococcaceae

      Natural habitats
      They are ubiquitous in nature, but are mainly found on the skin of human, mammals and birds.

      Clinical significance
      S. auricularis is part of the healthy human external auditory canal microbiota exclusively colonizing this region

      They have a relatively low virulence and can cause infections in patients with lowered resistance, especially in immune compromised patients.

      CNS infections occur in implantation of foreign objects, such as intravenous catheters or bone prostheses.

      Is repeatedly CNS, in pure culture or in mixed culture isolated from the material, then this confirms the presence of an infection.

      The correct identification of CNS is necessary in order to get an idea of the pathogens in this group.

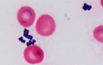
  • Gram stain

    • Gram positive cocci,

      0.8-1.2 µm

      predominantly in tetrads and pairs.

  • Culture characteristics

    • Facultative anaerobic

      BA: colonies are small to medium, smooth, butyrous, convex, opaque, circular, slightly glistening, white
      and no hemolysis

      Some strains can have colonies with a granular texture, wrinkled, or rough surface.

      McConkey: growth

      BBAØ: growth

  • Characteristics

  • References

Find related articles in Pubmed