SEARCH

Display:


Egyptian mummy in the British Museum tubercular decay has been found in the spines of Egyptian mummies


photo en.wikipedia.org


Robert Koch 1843-1910
was a celebrated German physician and pioneering microbiologist.
The founder of modern bacteriology, he is known for his role in identifying the specific causative agents of tuberculosis, cholera, and anthrax and for giving experimental support for the concept of infectious
disease.


La Miseria by Cristóbal Rojas (1886).
The author, suffering from tuberculosis, depicts the social aspect of the disease, and its relation with living conditions at the close of the 19th century.

Mycobacterium tuberculosis

  • General information


    • History
      M. tuberculosis (MTB) was the cause of the "White Plague" of the 17th and 18th centuries in Europe. During this period nearly 100 percent of the European population was infected with MTB, and 25 percent of all adult deaths were caused by MTB

      M. tuberculosis, then known as the "tubercle bacillus", was first described on 24 March 1882 by Robert Koch who subsequently received the Nobel Prize in physiology or medicine for this discovery in 1905; the bacterium is also known as "Koch's bacillus".

      Tuberculosis has existed throughout history, but the name has changed frequently over time, consumption, phtisis, white plague

      General information
      MTB is an obligate aerobe.

      For this reason, in the classic case of tuberculosis, are always found in the well-aerated upper lobes of the lungs.

      The bacterium is a facultative intracellular parasite, usually of macrophages, and has a slow generation time, 15-20 hours, (a physiological characteristic that may contribute to its virulence), compared to other bacteria, which tend to have division times measured in minutes (Escherichia coli can divide roughly every 20 minutes).

      It is a small bacillus that can withstand weak desinfectants and can survive in a dry state for weeks.

      Its unusual cell wall, rich in lipids (e.g. mycolic acid), is likely responsible for this resistance and is a key virulence factor

      Taxonomy
      Family: Mycobacteriaceae

      Natural habitats
      MTB is the etiologic agent of tuberculosis in humans.

      Humans are the only reservoir for the bacterium.

      Clinical significance
      Tuberculosis (TB) is the leading cause of death in the world from a bacterial infectious disease.

      The disease affects 1.8 billion people/year which is equal to one-third of the entire world population.

      Tuberculosis (TB)
      Tuberculosis is caused by a bacterium called Mycobacterium tuberculosis. The bacteria usually attack the lungs, but TB bacteria can attack any part of the body such as the kidney, spine, and brain.

      If not treated properly, TB can be fatal.

      TB is spread through the air from one person to another.

      The TB bacteria are put into the air when a person with TB of the lungs or throat coughs, sneezes, speaks, or sings. People nearby may breathe in these bacteria and become infected.

      TB is NOT spread by
      - shaking someone’s hand
      - sharing food or drink
      - touching bed linens or toilet seats
      - sharing toothbrushes
      - kissing

      Not everyone infected with TB becomes sick.

      As a result, two TB-related conditions exist: latent Tuberculosis and Tuberculosis

      Latent Tuberculosis Infection
      TB bacteria can live in the body without making you sick.
      This is called latent TB infection.
      In most people who breathe in TB bacteria and become infected, the body is able to fight the bacteria to stop them from growing.
      People with latent TB infection do not feel sick and do not have any symptoms.
      People with latent TB infection are not infectious and cannot spread TB bacteria to others.
      However, if TB bacteria become active in the body and multiply, the person will go from having latent TB infection to being sick with TB disease. source: CDC

      Tuberculosis
      TB bacteria become active if the immune system can't stop them from growing.

      When TB bacteria are active (multiplying in your body), this is called tuberculosis.

      People with tuberculosis are sick. They may also be able to spread the bacteria to people they spend time with every day.

      Many people who have latent TB infection never develop TB.
      Some people develop TB soon after becoming infected (within weeks) before their immune system can fight the TB bacteria.

      Other people may get sick years later when their immune system becomes weak for another reason. For people whose immune systems are weak, especially those with HIV infection, the risk of developing TB is much higher than for people with normal immune systems M. tuberculosis contain complex waxes & cord factor they prevent destruction by lysosomes and macrophages source: CDC

  • Diseases

  • Gram stain

    • Gram stain
      M. tuberculosis is not classified as either Gram-positive or Gram-negative because it does not have the chemical characteristics of either, although the bacteria do contain peptidoglycan (murein) in their cell wall.

      Despite this, it is considered a Gram-positive bacterium.

      If a Gram stain is performed on MTB, it stains very weakly Gram-positive or not at all (cells referred to as "ghosts").

      Ghost cells
      are a clue to the presence of Mycobacteria in Gram-stained specimen

      M. tuberculosis is a fairly large rod-shaped bacterium, the rods are 0.2-0.5 x 2-4 µm.

      In order to detect Mycobacterium tuberculosis in a sputum sample, an excess of 10,000 organisms per ml of sputum are needed to visualize the bacilli with a 100X microscope objective (1000X mag).

      One acid-fast bacillus/slide is regarded as "suspicious" of an MTB infection.

      Cord factor, or trehalose dimycolate, is a glycolipid molecule found in the cell wall of M. tuberculosis and similar species.

      It is the primary lipid found on the exterior of M. tuberculosis cells. Cord factor influences the arrangement of M.tuberculosis cells into long and slender formations, serpentines cords, giving its name.

      Cord factor is toxic to mammalian cells and is also an inhibitor of polymorphonuclear leukocyte (PMN) migration. Cord factor is most abundantly produced in virulent strains of MTB.

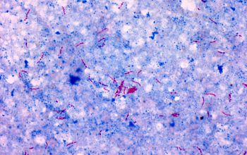
      Acid-fast
      It does not retain any bacteriological stain due to high lipid content in its wall (primarily due to the presence of myolic acid), hence Ziehl-Neelsen staining or acid-fast staining is used.

      Acid-fast bacilli appear pink in a contrasting background.

      The bacterium is a facultative intracellular parasite, usually of macrophages, and has a slow generation time, 15-20 hours, a physiological characteristic that may contribute to its virulence.

  • Culture characteristics

    • Obligate aerobic

      The colonies are off-white, buff to yellow, rough, wrinkled, the colonies can also be smooth.

      It takes 4-6 weeks to get visual colonies.

      A faster result can now be obtained using the MGIT/BACTEC

      Two media are used to grow MTB
      Middlebrook's medium which is an agar based medium and
      Lowenstein-Jensen medium which is an egg based medium.

      Both media contain inhibitors to keep contaminants from out-growing MTB

  • Characteristics

  • References

Find related articles in Pubmed