SEARCH

Display:


Five-day-old abscess.

The black dot is a clogged hair follicle.

author Amrith Raj

wikipediamedia


https://commons.wikimedia.org/wiki/File:Five_day_old_Abscess.jpg


Abscess following curettage

author Guyproctor

wikimedia



https://commons.wikimedia.org/wiki/File:HumeralAbscess.jpg


impetigo of the neck

author Äsa Thörn

wikimedia










​https://commons.wikimedia.org/wiki/File:Impetigo-infected.jpg


impetigo bulbosa




photo: Dr Nouwen, ErasmusMC, Rotterdam


cellulitis




photo: Dr Nouwen, ErasmusMC, Rotterdam

Staphylococcus aureus

  • General information


    • Taxonomy
      Family: Staphylococcaceae

      Natural habitats
      Is found in the human respiratory tract and on the skin.

      Clinical significance
      S. aureus is responsible for many infections but it may also occur as a commensal.
      The presence of S. aureus does not always indicate an infection.
      They can survive from hours to weeks, or even months, on dry environmental surfaces.

      Some types of S. aureus infectons
      - impetigo, a small area of erythema that progresses into bullae (filled with pus), that rupture and heal with the formation of a honey colored crust of the skin
      - folliculitis, a tender pustule that involves the hair follicle
      - cellulitis, an infect of the skin layers
      - furuncles and carbuncles (a collection of furuncles), small abscess
      - mastitis, breastfeeding women, staphylococcal infection of the breast
      - pneumonia, infection of the lungs
      - osteomyelitis, staphylococci gets into the bones
      - toxic shock syndrome (TSS) is most common in young women, who use highly absorbent vaginal tampon.
      TSS has also been described in men and not menstruating women.
      The causative agent is a toxin that is called toxic-shock syndrome toxin (TSST).
      - sepsis, staphylococcal infection in the blood
      - endocarditis, infection of the heart or heart valves
      If the S. aureus infection gets into the bloodstream it can spread to other organs and cause severe and life-threatening infections (bacteremia or sepsis).

      Sepsis can lead to shock or multi organ failure, which can rapidly lead to death.

      SCVs of S. aureus
      They are most commonly isolated from patient populations with usually persistent infections such as cystic fibrosis or chronic osteomyelitis and/or from patients who have prolonged exposure to aminoglycosides and cotrimoxazole.

      Food poisoning
      People get staphylococcal food poisoning by eating foods contaminated with S. aureus.
      The bacterium releases a toxin into the foods, causing a rapid onset of severe nausea and vomiting. It may also cause fever.

      Approximately 10 -15% of the healthy population are asymptomatic carriers among hospital staff, this percentage is higher.

      The carrier can transmit the Staphylococcus or MRSA to other people.

      Methicillin resistant Staphylococcus aureus / MRSA

      MRSA infection is caused by a strain of S. aureus that's become resistant to the antibiotics commonly used to treat ordinary staphylococcal infections

      MRSA strains are often hetero resistant to beta-lactam antibiotics in that two subpopulations (one susceptible and the other resistant) coexist within the culture.

      Each cell in the population may carry the genetic information for resistance, but only a small fraction express the resistant phenotype under in vitro test conditions.

      The resistant subpopulation usually grows much more slowly than the susceptible subpopulation and may be mist during laboratory testing

      The successful detection of the hetero resistant strains depends largely on promoting the growth of the resistant subpopulation.

      Cefoxitin disk (30 µg) diffusion is a better indicator of the presence of mecA-mediated resistance. Than the oxacillin disk.

  • Diseases

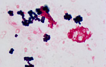
  • Gram stain

    • Gram positive cocci,

      0.5-1.5 µm

      that occur in irregular grape-like clusters and, less often, single and in pairs, tetrads, and in short chains,(three or four cells).

  • Culture characteristics

    • Facultative anaerobic BA: the colony is pigmented (cream, yellow to orange), smooth, entire, slightly raised, and hemolytic. Colonies reach 6-8 mm after 3 days of incubation.

      SCVs of S.aureus May require at least 48h to become visible. Colony size is usually about 1/10 that of the wild type, and the colony lacks pigment. They may be isolated in purity or in mixed with colonies with normal morphotypes, giving the appearance of a mixed culture, and may remain stable upon subculture or may rapidly revert to the wild type. They are most commonly isolated from patient populations with usually persistent infections such as cystic fibrosis or chronic osteomyelitis and/or from patients who have prolonged exposure to aminoglycosides and cotrimoxazole. SCVs are proposed to have a defect in the electron transport chain.

      McConkey: growth

      BBAØ: growth

  • Characteristics

  • References

Find related articles in Pubmed